一宗延误就医个案再度引发关注。台湾台中一名30多岁男子,因持续发烧近一个月并伴随咳嗽,起初一直当作普通感冒或流感处理,多次到诊所看病拿药,却未进一步检查,直到后来出现咳血、连坐着都呼吸困难,才紧急送往大医院急诊,最终证实罹患已广泛转移的睾丸癌,病情急速恶化后不幸身亡。
据当地医生说明,这名男子在台中七期一间百货公司任职,平日自认年轻、体格壮健,对反复发烧与久咳并未特别警觉,认为“撑一撑就会好”。不过,随着症状持续未退,身体状况明显转差,甚至出现严重喘不过气与咳血情况,才决定到大医院求诊。
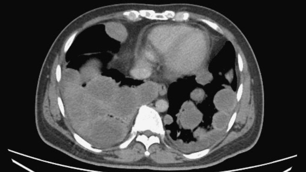
院方安排X光及电脑断层扫描后,发现其体内多处已有肿瘤扩散,涉及肺部、肝脏及后腹腔。医疗团队进一步追查后确认,病灶源头来自左侧睾丸一个约5.5公分的恶性肿瘤,而后腹腔另有一个高达12公分的巨大肿瘤,已属睾丸癌晚期并出现广泛转移。
医生指出,患者入院时病情已相当严重,虽然院方随后立即展开紧急治疗,但整体进展异常迅速。短短两周内,肺部转移病灶明显恶化,最后患者在确诊后约一个多月内因器官衰竭离世,连完整病理报告尚未来得及出炉,病情便已失控。
从临床角度来看,睾丸癌并非只会以局部肿块表现,有时也可能先以发烧、咳嗽、喘、体重变化或其他非典型症状出现,一旦癌细胞转移至肺部或其他器官,病情往往会变得更复杂。因此,持续发烧、久咳不愈,或身体摸到异常肿块时,都不应单靠止痛药或感冒药反复处理。
医生也借此提醒,年轻并不代表没有罹癌风险,若身体持续出现不明原因的不适,尤其是症状拖延数周仍未改善,应尽快接受进一步检查。对癌症而言,尽早发现、尽早评估与治疗,往往比单纯“忍一忍”更关键。

