大马结核病(TBC)疫情警钟敲响!随着国内在短短时间内激增10个感染群,医学专家发出紧急呼吁,提醒民众在来临的佳节出行与回乡高峰期,务必升级个人防疫措施,严防这一“潜伏杀手”在社区大规模扩散。

马来亚大学流行病学与公共卫生专家拉夫扎教授直言,结核病其实一直潜伏在民众周围,其长达数周甚至数月的潜伏期最易让人掉以轻心。他强烈建议,计划搭乘公共交通工具或参与聚会的民众应佩戴口罩,这不仅是为了防范结核病,也是应对各种传染病的有效屏障。

他强调,一旦发现身体不适或疑似出现症状,应果断取消出行并立即求医,避免在佳节团聚时将病菌带给家乡的亲友。

针对聚会环境,拉夫扎教授提醒,良好的通风是阻断传播的关键,聚会期间应尽可能保持门窗开启。与此同时,大马私人执业医生联合会(FPMPAM)主席山姆加纳丹也指出,及早筛查是防控的核心。他高度肯定了移工体检机构(Fomema)在筛查工作中的贡献,并呼吁政府应确保国内所有人口,包括非公民在内,都能获得平等的筛查与治疗机会,以堵住公共卫生的安全漏洞。

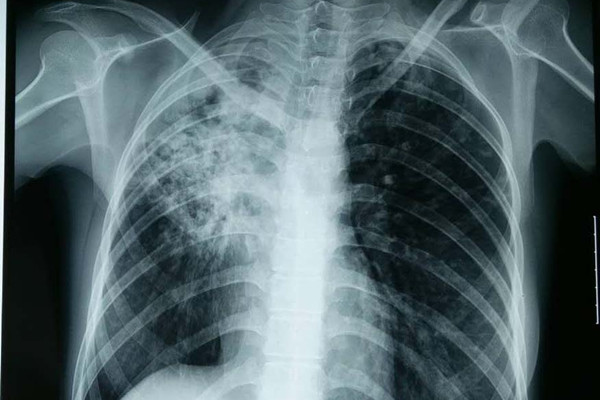
值得关注的是,并非所有结核病都具备传染性。山姆加纳丹医生科普道,传播风险主要源自活动性肺结核,病菌通过空气飞沫传播;而肺外结核(如影响骨骼、淋巴或脊柱)通常不涉及呼吸道,因此不具传染性。他呼吁公众科学理性看待结核病,避免对患者产生不必要的恐慌或污名化,但必须确保确诊者完成整个疗程,严禁中途停药,以免产生更具威胁的“耐药性”结核病。

上一则新闻四川男子纵容柴犬咬死母猫 被依法处理
下一侧新闻111岁人瑞去世 生前曾分享长寿秘诀